National Breed Club
Newfoundland

Login:
Password:
Обратите внимание:
Поддержать проект Ньюфы.ру
You're here: Newfs.info / Photos / Selection / Photo № 138338

Photo viewing

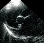
«Дилатационнная кардиомиопатия»

Фото

Превью фото № 138339
Photo from:YUliya (Юлия)
Photo added :9 November 2013 в 02:42
Rating:It is not defined yet

Possible actions

ID: [f138338], https://f138338.eng.newfs.info/

Chat
1 April 2026
19:13 Sozidatel' (Соziдатель): Где что крутиться медленно? У меня сейчас страница открылась за 0.5 секунды. Медленовато конечно.
19:15 Sozidatel' (Соziдатель): А вообще, у вас там из РФ вообще теперь черт знает ногу сломаешь что с интернетом. Сервер-то в Германии. Поэтому Ньюфы стоит сравнивать с другими сервисами не из РФ.
3 April 2026
19:23 YEl'vira (Эльвира): несколько минут крутится
19:23 YEl'vira (Эльвира): загрузка медленная, а здесь сообщения уходят моментально
19:36 YEl'vira (Эльвира): новье загружалось 8 минут 50 сек.
10 April 2026
12:22 YEl'vira (Эльвира): От нас ушла Галина Бондаренко, Мадам Габо... Галя умерла 25.08.2025. Мы переписывались, осенью она пропала, а в декабре с её страницы написал сын, что мамы нет.
12 April 2026
22:17 Alla: https://newfs.info/myroom/letters/ выдаёт ошибку
13 April 2026
08:16 Sozidatel' (Соziдатель): Alla, спасибо, поправил
16 April 2026
22:29 Nadejda E (Надежда Е): Будем жить?
20 April 2026
19:19 Sozidatel' (Соziдатель): Ну, если люди начнут возвращаться, то и сайт будем развивать дальше. Починки уж все сделаем :)
21 April 2026
18:14 Healena: Урааа! Мы хотим возвращаться!
24 April 2026
11:36 lesika: Я вот Галю что-то вспомнила , олененок в ее исполнении был бесподобен
25 April 2026
14:27 YEl'vira (Эльвира): Она вообще была бесподобна... очень жаль
15:52 DarSveZy: Спасибо , Евгений, за возможность регистрации нового форумчанина Александры Маруцкой, питомник ПаДеДе )
26 April 2026
10:31 night-73: Надо-надо сайт восстанавливать. Мы все хотим вернуться, да и новых, желающих зарегистрироваться много.
Статистика сайта
0.512 s, 151 q
:
© 2006 Newfs.ru
// Editor: Kirill Ermakov
// Developer: Eugene Nenaglyadov
Feedback form
Правила Сайта