National Breed Club
Newfoundland

Login:
Password:
Поддержать проект Ньюфы.ру
You're here: Newfs.info / Groups / Объявления / Форум / ФРАНКО НУЖНА ПОМОЩЬ ! (53/68)

It is a group forum GroupОбъявления. Details at the end of page.

Тема: ФРАНКО НУЖНА ПОМОЩЬ !

ФРАНКО НУЖНА ПОМОЩЬ !
Quote:


ФРАНКО испанский мастиф болен с рождения(наружный подвывих головок тазобедренных костей в обоих суставах,вторичная дисплазия тазобедренных суставов за счёт слабости связачного аппарата и диффузного остеопороза)
До года почти не ходил.В год была сделана операция,но с минимальным результатом.Болезненность задних лап ушла,но лапы снова просели.
По мнению врачей в Екатеринбурге,нужна ещё серия операций или УСЫПЛЯТЬ ,т.к. прогноз не благоприятный.
С осени 2013г.ФРАНКО живёт у опекуна (конт.тел. 8 982 717 02 06-Елена)в Екатеринбурге в частном доме.Хозяев у него больше нет по стечению обстоятельств.
Жить он может только на участке,где больше возможности двигаться,что бы укрепить мышечный
каркас.
Разговаривали с Ягниковым в Москве.Высланы сканы мед.документов(рентген,ход операции,лечение). Ягников берётся прооперировать ФРАНКО скорее всего обе лапы сразу.Речи о серии операций нет.Сопровождающий или Елена конт.тел.: 8 982 717 02 06 смогут привезти ФРАНКО в Москву.
У Ягникова операция на одной лапе стоит 28 тысяч.Если оперировать обе лапы сразу-на вторую лапу скидка 50%.Нужны деньги на операцию и перевоз ФРАНКО в Москву и реабилитацию.Желательно-передержка в Москве,т.к.необходимо наблюдение хирурга.Такой возможности в Екатеринбурге нет.
И ФРАНКО нужен дом и ответственный хозяин
ФРАНКУША доброжелательный,контактный парень.Любит играть,пытается бегать.Ладит со всеми суками Лены (собак у неё 12 душ),но ревностно относится к претендентам на сердца "девчонок".
Не любит когда посягают на его миску некоторые "обжоры" и любопытные.








ФРАНКО борется за свою жизнь изо всех своих сил.
Дайте ему шанс!!


Помогите максимальным перепостом.

Кто может финансово - №карты-
карта виза 4276160011330884


Все подробности у опекуна Елены-конт.тел.: 8 982 717 02 06

Открыла тему по просьбе ELENAZIRINAЛены Зыриной. Все уточнения,вопросы-задавайте здесь или в личку Lenyi (Лены)
Написало 48 человек

Сообщения

<< | | 48 | 49 | 50 | 51 | 52 | 53 | 54 | 55 | 56 | 57 | 58 | | >>
Total: 68 pages
Леночка, не волнуйся, "чему быть, того не миновать", а этот препарат зачем? У Франко с ЖКТ проблема? Ждем, что скажет Ягников С.А.
Снять воспалительный процесс с кости. Врач сказала этот препарат Франко поможет.
Лена кто-то сегодня улетел в РКФ , читала на Е-1.
Фотография № 198177
Спасибо большое .
Столько человек написали в личку и позвонили.
Спасибо всем.
Алия ,спасибо большое.
Мы хотим пожить еще.
Нам всего 4 года в августе исполнилось.

На рентгене Франко напугался. Пятеро держали.
У Франко все стабилизировалось более ли менее, кушает хорошо.
Раньше он не любил фрукты овощи.
А сейчас просит грейпфруты, бананы, квашеную капусту.
И вот опять привязалось.
Леночка, как Франко? Что сказал Ягников С.А.?
Фотография № 198268
Фотография № 198269
Фотография № 198270
Сергей Александрович написал что абсцесс в мягких тканях а не в надкостнице, как нам озвучили на рентгене.
Ну и артроз коленного сустава.
Назначил дополнительно к выписанному препарату гиалутидин и превикокс 227 по 1.5 таблетки в день на 8 месяцев , и хирург, ставивший катетор в лапу, чтобы гной выходил тоже сказад
У Ольги где то фото есть лапы и рентген.
Вот не везет нам.

4 года только Франкуше, и только маленько наладится, снова что нибудь не так.

Сегодня я принесла мясо, так парень не хотел гулять, как бычка его тянула на улицу.
Боялся , что без него все скушаем.

В лесу Франко в сугробы старается зарыться.
Радостный бегает, счастливый.

Вот нам бы чуточку везения в следующем году.
Пожить бы нам без осложнений и сюрпризов.
Анечка, которая в Москве приезжала к Франко к n'yufo-mama (ньюфо-мама)
Передала Франко превикокс 2 упаковки.
И Леночка Bonny2009 спасибо за помошь Франко.
И вот только получила письмо
Пластину на голени надо удалять.
Вот что делать?
Лена, а это можно сделать в Екатеринбурге или нужно в Москву к Ягникову везти? Страшно делать опять операцию, да и превикокс более 10 дней тоже тяжеловато для огранизма, но наверно, другого выхода нет.
Пластину удалить в Екатеринбурге Леночка,но страшно.
Операция есть операция.

Превикокс да, как я не старалась уйти от него ,заменив гомеопатией, ничего не вышло.
До сих пор я давала превикокс при болях, стараясь минимизировать, но врачи говорят, что это неправильно.
Давать нужно непрерывно, чтоб снимать воспаление.

Рекомендовано пить 8 месяцев непрерывно, прикрывая желудок.

Гиалутидин это хондропротектор с коллагеном.
Его мы еще не пили.

И при всех напастях Франко всегда довольный, нежный, ласковый.
Бегает по участку охраняет.
Вот что за судьба у парня.
Лежит глаз с меня не сводит, пока свет не выключу.
Я ему говорю Будем пить лекарство, все будет хорошо.
.
Лен, превикокс обычно прописывают с омезом. Тот же Ягников прописывает его два раза в день. Так считается, что желудок под прикрытием.
Quote от ELENAZIRINA (sourse):И вот только получила письмо
Пластину на голени надо удалять.
Вот что делать?
Это Ягников написал?
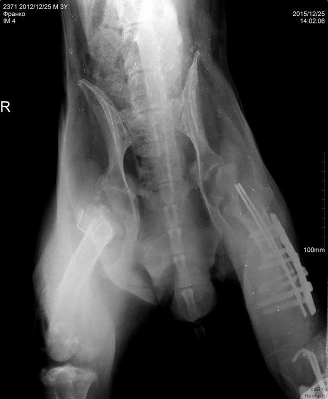
2015.12.25.=Франко снимки бедро латер
Фотография № 198290

2015.12.25.=Франко снимки голень
Фотография № 198291

2015.12.25.=Франко снимки таз ВД
Фотография № 198292
Фотография № 198362
Фотография № 198363
Артроз у Франко ужаснейший.
Хуже мне кажется уже и быть не может.
Ноги Франко так устроены, что он сам их разбивает.
Это чудо , что он еще на ногах,
Нужно чтоб пластины стояли как можно дольше.
Чудо, что Франко на ногах, радуйтесь каждому месяцу.
Это нам написала наша врач.

Лекарство из Москвы мы получили, с абсцессом кажется справились.
Вот теперь артроз.
Что делать? Как остаться на ногах?
Все рекомендации врачей мы выполняем.
Сейчас я даю препарат дона, превикокс и мильгамму.
Фотография № 198813
Франкуша как взрослый пацан уезжал на рожденственские каникулы в гости к Kuz'kinaMat' (КузькинаМать) Иришке.
Прожил он на курорте целых 3 дня.
Обратно возвращался без энтузиазма.
Франкушу любили, кормили вкусно, нашили модные наряды.
У Франкуши появились новые друзья.
Очаровательный котенок Лизонька, пудель Артемон, Кузяка.
Ирина нам покажет
Ножкам стало полегче Ттт.
Иришке пришлось гнаться за Франкулем на прогулке,
когда он домой несся.
<< | | 48 | 49 | 50 | 51 | 52 | 53 | 54 | 55 | 56 | 57 | 58 | | >>
Total: 68 pages

Ответ

Для того, чтобы писать сообщения в форуме, необходима регистрация. Мы приглашаем вас зарегистрироваться, это не сложно.

Если вы уже зарегистрированный пользователь - введите свой логин и пароль в полях авторизации - вверхний левый угол наших страниц.

About this forum

This page is a forum of group GroupОбъявления.
This group is public. It means that on it site rules extend, and their observance is watched by group administration.
Group administration: N'yufaundlendoved (Ньюфаундлендовед), Sozidatel' (Соziдатель)

Online peoples:
Всего 7 человек
Chat
3 April 2026
19:23 YEl'vira (Эльвира): несколько минут крутится
19:23 YEl'vira (Эльвира): загрузка медленная, а здесь сообщения уходят моментально
19:36 YEl'vira (Эльвира): новье загружалось 8 минут 50 сек.
10 April 2026
12:22 YEl'vira (Эльвира): От нас ушла Галина Бондаренко, Мадам Габо... Галя умерла 25.08.2025. Мы переписывались, осенью она пропала, а в декабре с её страницы написал сын, что мамы нет.
12 April 2026
22:17 Alla: https://newfs.info/myroom/letters/ выдаёт ошибку
13 April 2026
08:16 Sozidatel' (Соziдатель): Alla, спасибо, поправил
16 April 2026
22:29 Nadejda E (Надежда Е): Будем жить?
20 April 2026
19:19 Sozidatel' (Соziдатель): Ну, если люди начнут возвращаться, то и сайт будем развивать дальше. Починки уж все сделаем :)
21 April 2026
18:14 Healena: Урааа! Мы хотим возвращаться!
24 April 2026
11:36 lesika: Я вот Галю что-то вспомнила , олененок в ее исполнении был бесподобен
25 April 2026
14:27 YEl'vira (Эльвира): Она вообще была бесподобна... очень жаль
15:52 DarSveZy: Спасибо , Евгений, за возможность регистрации нового форумчанина Александры Маруцкой, питомник ПаДеДе )
26 April 2026
10:31 night-73: Надо-надо сайт восстанавливать. Мы все хотим вернуться, да и новых, желающих зарегистрироваться много.
15 May 2026
19:55 Sozidatel' (Соziдатель): Вот, видимо первое что нужно поправить, как-то улучшить процесс регистрации..
19 May 2026
12:25 YEl'vira (Эльвира): Всё у меня стало открываться моментально!!!!
Статистика сайта
2.182 s, 853 q
:
© 2006 Newfs.ru
// Editor: Kirill Ermakov
// Developer: Eugene Nenaglyadov
Feedback form
Правила Сайта
Ссылка на это сообщение.
Кликните правой кнопкой мыши, выберите «Скопировать ссылку» или аналогичный пункт меню.